当院のCT室には80列と320列の二台のCT装置があります。320列CTはAquilion PRISMという装置で、AI(人工知能)技術を用いた画像再構成法「AiCE」を搭載しています。AiCEはDeep learningを用いて分解能を維持したままノイズを選択的に除去する再構成技術です。低線量で撮影しても安定した高画質な画像を提供することができます。
そして最多列検出器を装備するCT(320列)で160mmという広範囲を寝台移動させることなく1回転のスキャンで撮影することが可能になります。回転速度が最速0.275秒であることから小児や冠動脈など高速かつ低被ばくが望ましい患者さんや部位の撮影に有用です。また、1回転0.275秒の高速スキャンを連続で行うことで血流や臓器、四肢などの動態や機能情報を可視化できます。

お願い
当院では、撮影部位・単純・造影に限らずすべての検査を実施させて頂きます。より目的に沿った有用な検査を施行させていただくために診療情報提供書[検査依頼内容]には検査依頼目的を詳細に記載していただきますようお願い致します。
また、3DやMPR(矢状断、冠状断)といった画像処理等に関しましてもご要望がありましたら、一緒に記載していただければ、できる範囲での画像提供をさせて頂きます。なお、冠動脈CTにつきましては、当院の循環器科を通しての予約となりますのでご了承ください。
造影CT検査
自動注入器を使用して静脈からヨード造影剤を注入し、撮影することにより血管や臓器にコントラストを付け、より詳細な情報を得る事ができます。血管精査目的の検査ではこの装置の特徴である画像ノイズ低減処理や高速撮影により造影剤の量を従来の装置より減らしながら従来の装置と変わらない画像を提供することができます。
注意事項
造影CT検査は粘り気のある造影剤を自動注入器で静脈に高速で注入するため血管外漏出が起きたり、ヨード造影剤で副作用が起きたり、腎機能低下があると腎臓に負担がかかり腎不全を起こしたりすることが稀にあります。検査依頼時には患者さんに、このようなことを十分説明の上、予約をしていただけますようお願いします。また、これらのリスクを少しでも小さくするために、当院での検査前に簡単な問診と同意書に署名をして頂きます。
この問診内容や事前の検査結果、検査目的により、副作用の危険が造影CT検査の利点を上回ると判断される場合や同意を得られない場合には、造影剤を使わない単純CT検査に変更することがありますのでご了承ください。予約時にもお伝えしますが、事前に血液検査をして頂き直近の腎機能評価をお願い致します。

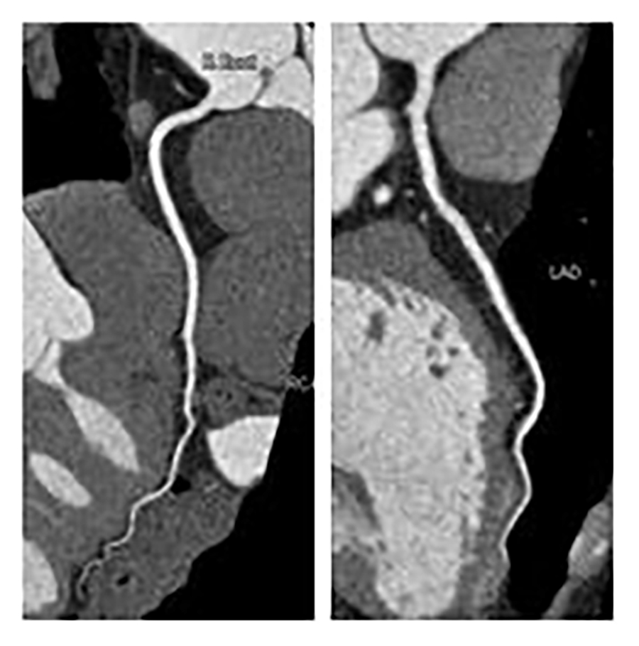
冠動脈CT検査
心臓カテーテル検査よりも低侵襲で受検者の身体的負担も大幅に軽減出来るだけでなく、検査費用も安価で気軽に冠動脈の評価ができます。
冠動脈の石灰化や虚血性心疾患、先天性の血管走行異常など早期に発見することができます。320列CTで撮影することで、撮影時間は約1/20に、被ばく量は約1/4まで軽減できます。不整脈や息止め不良に強く、ベッドを移動させずに継ぎ目なく一度で撮影した画像なので、ミスレジストレーション(画像処理時の誤差によって生じる画像劣化)のない極めて高品質な画像を得ることになります。1心拍を最初から最後まで連続撮影することで3D画像に時間軸が加わり4D画像も作成可能となりました。

