科の紹介
がんの3大治療法のひとつである放射線治療に特化した診療科です。放射線治療は患部を切除することなく治療が可能なため、身体の機能や形態の温存に優れています。また一般に体への負担が少ないため、高齢者や合併症を有する方などへの適応も広い治療になります。
当科では症例に応じた放射線治療を提供するとともに、院内各科・連携病院と協力しながら集学的がん治療に力を注いでいます。また患者さんに配慮し、快適に治療を受けていただけるように、放射線治療に関わる医師、医学物理士、看護師、診療放射線技師など全職種が連携してサポートしています。
安全・安心への取り組み
目に見えない放射線を使った治療となるので、十分な品質管理・安全管理が重要となります。特にIMRT(強度変調放射線治療)やSBRT(体幹部定位放射線治療)は治療装置や治療計画に高い精度が求められます。当院では装置の定期的な品質管理、ならびに治療の準備から治療終了までにわたる品質・安全管理を放射線治療に関わるスタッフ全員で行っております。当科での取り組みについて紹介いたします。
- カンファレンスによるスタッフ全員での情報共有(日毎・週毎)
- 患者誤認防止対策の実施(患者さんにフルネームを名乗って頂く・カードリーダーまたはバーコードリーダーでの患者さん確認)
- 治療計画の確認(線量関連・幾何学関連)
- 放射線治療の線量検証(多次元検出器・線量計)
- 装置の定期的品質管理(日毎・月毎・年毎)
診療内容・特徴
腫瘍の消失あるいは症状緩和などを目的として、あらゆる部位の腫瘍に対して、放射線治療を行っております。様々な症例に対して適切な治療が提供できるように、従来の治療法だけでなく高精度放射線治療も提供しております。当院で行っている高精度放射線治療についてご紹介します。

画像誘導放射線治療:IGRT(Image-Guided Radiation Therapy)
放射線治療では、放射線を正確に腫瘍に照射することが大切です。当院では治療直前に、治療装置に付随した位置合わせ用のX線装置を用いて腫瘍位置を正確に把握し、高い精度で放射線治療を行うことが可能です。
体幹部定位放射線治療:SBRT(Stereotactic Body Radiation Therapy)
ミリ単位の高い精度で病巣に対して多方向から放射線を集中投与する方法です。一般に1~2週間など短い期間で高線量を処方し、効果が期待される治療法です。
肺や肝臓、脳、骨、小数個の転移などが主な対象になり、以前よりも広く用いられています。

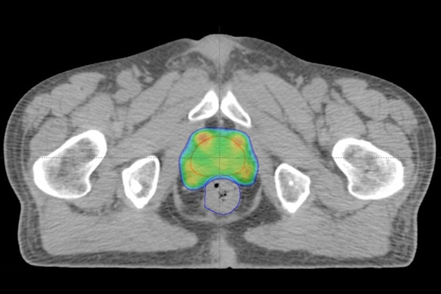
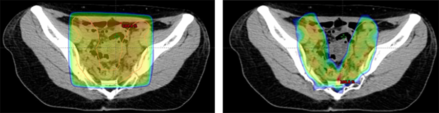
強度変調放射線治療:IMRT(Intensity-Modulated Radiation Therapy)
複雑な腫瘍形状に合わせて線量分布を形成する治療法です。腫瘍へ当たる放射線の線量を保ったまま、近接する正常臓器への線量を減らすことが出来るため、副作用に配慮した治療が可能です。様々な腫瘍に対して用いられますが、特に前立腺癌治療や頭頚部癌治療などにおいてはその有用性が広く知られています。


緊急照射について
緊急照射(緊急放射線治療)は、速やかな対応が必要な症状に対して行う放射線治療です。
特に脊椎への転移は、進行により脊髄圧迫や浸潤による麻痺が生じうるため、緊急で(その日のうちに)照射を行います。

緩和的放射線治療について
緩和的放射線治療(緩和照射)は、がんの進行に伴って生じるさまざまな症状を和らげ、日常生活をより過ごしやすくすることを目的とした放射線治療です。
がんを完全に治すことだけを目的とする治療ではありませんが、症状の改善や悪化の防止に高い効果が期待できる治療法です。
スタッフ紹介
日本医学放射線学会 研修指導者
日本がん治療認定機構 がん治療認定医
日本医学放射線学会 研修指導者
日本医学放射線学会 研修指導者
医学物理士認定機構 治療専門医学物理士
博士(理学)
第一種放射線取扱主任者
博士(保健学)
外来診療担当医表
| 月曜日 | 火曜日 | 水曜日 | 木曜日 | 金曜日 | |
|---|---|---|---|---|---|
| 新患 | 清水・佐々木・安里 | 清水・佐々木・安里 | 清水・佐々木・安里 | 清水・佐々木・安里 | 清水・佐々木・ 安里・小谷 |
| 再来 |
診療実績
2024年
- 治療数:359人
- IMRT:123人
- 定位放射線治療:27人
患者数の推移(2017-2024年)

治療部位の内訳(単位:件)(2024年)

医療関係者の方へ
地域医療連携・入退院支援課を通じて予約調整しておりますので、まずは地域医療連携・入退院支援課へご連絡くださいますようお願いいたします。
当院では、基本的に各診療科からの依頼により放射線治療が行われておりますので、入院をご希望の際は、地域医療連携・入退院支援課から各診療科にご依頼くださいますようお願いいたします。
患者さんのご紹介について
患者さんをご紹介いただく際は、お手数ですが紹介状のご協力をお願いします。
患者さんへ
予約は医療機関からの紹介制となります。放射線治療を希望される患者さんは、かかりつけの先生にご相談ください。